Mesane Kanseri Nedir?
Mesane, idrarın vücuttan çıkmadan önce depolandığı yerdir. İdrar, böbrekler tarafından üretilen sıvı atıktır.
Bazen vücudumuzdaki hücreler olması gerektiği gibi düzenli bir şekilde davranmaz. Bu anormal büyüme kanserdir. Mesane kanseri olan bir kişide, mesanede sağlıksız ve anormal hücrelerden oluşan bir veya birden fazla büyüme ya da tümör (kitle) bulunur.

İçerik
- Mesane Kanseri Nedir?
Mesane Kanserine Ne Sebep Olur?
- Sigara içmek, büyük bir risk faktörüdür
- Genetik etkenler
- Bir kanser ilacı olan siklofosfamid
- Pelvik bölgeye yönelik daha önce radyasyon almış olmak
- Plastik, boya, deri ve kauçuk yapımında kullanılan kimyasallara iş yerinde maruz kalma
Mesane Kanseri Tipleri
Mesane kanseri iki alt başlıkta incelemek takip ve tedavi açısından daha doğrudur.
- Kas tabakasına ulaşmayan mesane kanseri yalnızca mesanenin iç yüzeyindeki ince dokuda büyüyen kanserdir. Burada mesane kası etkilenmez ve tümörün mesane dışına yayılma olasılığı düşüktür. Tedavi için birçok seçenek vardır.
- Kas dokusunu tutan mesane kanseri, mesane duvarının kalın kas tabakasında bulunan kanserdir. Bu, daha ciddi ve daha ileri evre bir mesane kanseridir. Mesaneyi tamamen almak gerekebilir.

Mesane Kanseri Nasıl Büyür?
Mesane duvarı, farklı türde hücrelerden oluşan birkaç katmandan meydana gelir. Çoğu mesane kanseri, mesanenin iç astarında (iç yüzeyinde) başlar, mesane kasında değil.
Kas tabakasına ulaşmayan mesane kanseri , mesane astarının ötesine büyümez.
Mesane kas dokusunu tutan bir kanser varsa zamanla diğer mesane duvarı katmanlarına doğru büyür. Zamanla tümör, mesane dışına doğru büyüyerek yakın dokulara da yayılabilir. Kanser daha sonra lenf düğümlerine, akciğerlere, karaciğere ve vücudun diğer bölümlerine de yayılabilir.
Mesane Kanserinin Belirtileri Nelerdir?
- İdrarda kan (gözle görülür ya da mikroskopik tüm kanamalar)
- Sık ve acil idrara çıkma ihtiyacı
- İdrar yaparken ağrı
- Alt karında ağrı
İdrarda kan, mesane kanserinin en yaygın belirtisidir. Ağrı hissetmeden idrarınızda kan olabilir. Çoğu zaman, kan ancak mikroskopla görülebilir.
Eğer idrarınızda gözle görülür şekilde kan varsa, bunu görmezden gelmeyin. Kan gitmiş olsa bile hemen doktorunuza bilgi verin.
İdrarda kan her zaman mesane kanseri olduğunuz anlamına gelmez. İdrarınızda kan bulunmasının birçok nedeni olabilir. Yapılacak testlerle idrar yolu enfeksiyonu olup olmadığı ya da daha ciddi bir durum, örneğin mesane kanseri, olup olmadığı anlaşılabilir.

Mesane Kanseri İçin Hangi Testler Kullanılır?
Mesane Kanseri Odaklı Testler
- İdrar analizi, idrar sitolojisi: Kanser hücrelerini kontrol etmek için yapılan idrar laboratuvar testidir.
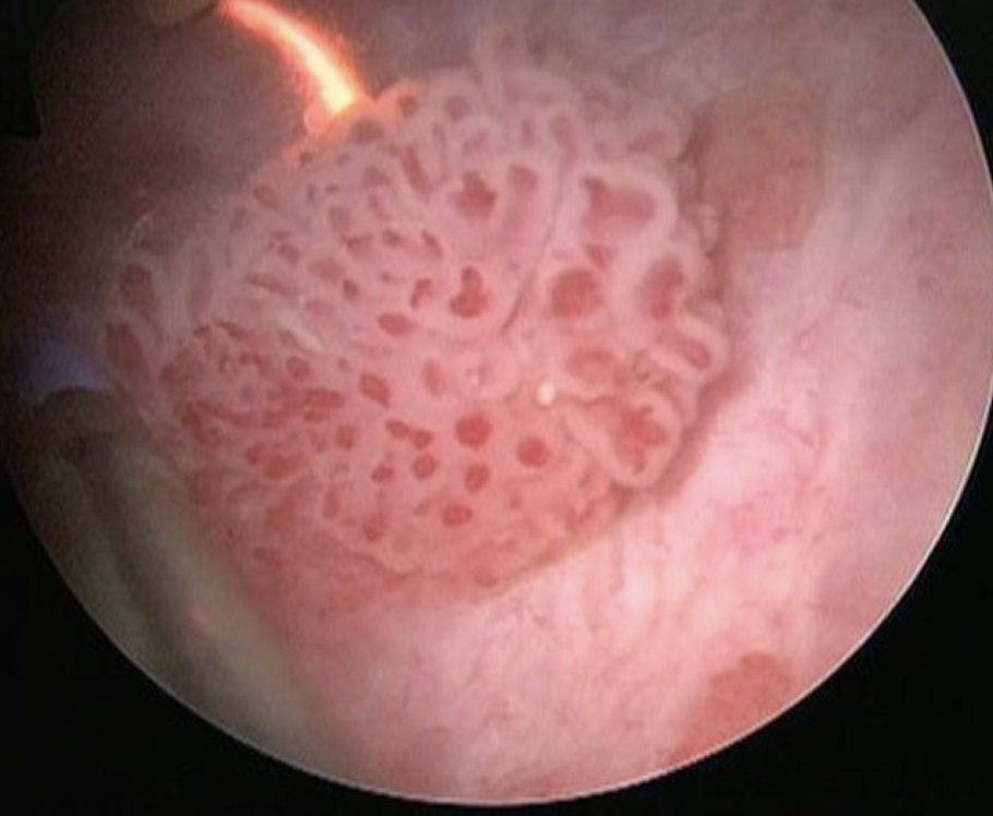
- Sistoskopi: Doktorunuzun mesanenizin içini görmesini sağlar. Doktorunuz ucunda kamera olan bir tüpü (sistoskop) üretradan mesaneye doğru geçirir. Böylece doktorunuz mesanenin iç yüzeyini net şekilde görebilir.
Mesane Kanseri için Görüntüleme Testleri
Görüntüleme, hem tanıda hem de takipte çok önemli rol oynar. Kanserin evresini belirlemek, yayılımını kontrol etmek, tedavinin nasıl ilerlediğini izlemek ve/veya tedaviden sonra kanserin geri gelip gelmediğini tespit etmek için kullanılır.
Mesane kanseri için görüntüleme şunları içerebilir:
- BT (Bilgisayarlı Tomografi) taraması: Tümörün boyutunu ve yayılımını değerlendirir, yakındaki organlara, lenf düğümlerine veya akciğer gibi uzak bölgelere yayılımı kontrol eder.
- MR (Manyetik Rezonans Görüntüleme): Pelvik bölgedeki tümörün lokal yayılımını detaylı şekilde göstermek için oldukça etkilidir.
- PET/BT (Pozitron Emisyon Tomografisi / Bilgisayarlı Tomografi):
Genellikle diğer görüntüleme testlerinde anormal bulgular varsa ya da lenf düğümlerinden biyopsi alınamıyorsa tercih edilir.
Ertelemeyin, Hemen Görüşelim!
- Feneryolu Bağdat Caddesi No 85/1 Posta Kodu: 34724 Kadıköy/İstanbul - Türkiye
Mesane Kanserinin Dereceleri Nelerdir?
Tümörün derecesi (grade) ve evresi (stage), kanseri ölçmenin ve tanımlamanın iki yoludur.
Tümörler düşük dereceli ya da yüksek dereceli olabilir.
Yüksek dereceli tümör hücreleri daha sık nükseder ve daha hızlı ilerler.
Bu hücrelerin mesane kasına büyüme olasılığı daha yüksektir.
Doktorlar mesane kanserinin evresini, genellikle TUR-MT (mesane tümörünün transüretral rezeksiyonu) işlemi sırasında alınan küçük bir tümör örneğiyle belirleyebilir.
Bir patolog, laboratuvarda örneği mikroskop altında dikkatle inceler ve kanserin evresini belirler.
Mesane kanserinin evreleri şunlardır:
- Ta: Tümör, mesane yüzeyinde yer alır ve kas dokusuna ulaşmaz.
- Tis (karsinoma in situ): Yüksek dereceli bir kanserdir. Mesane astarında kırmızımsı, kadifemsi bir leke gibi görünür.
- T1: Tümör, mesane astarını geçer ama kas tabakasına ulaşmaz.
- T2: Tümör, mesane kas tabakasına büyür.
- T3: Tümör, kas tabakasını aşarak mesane çevresindeki dokulara yayılır.
- T4: Tümör, erkeklerde prostat veya kadınlarda vajina gibi yakın yapılarla temas eder veya oralara yayılmıştır.

Mesane Kanseri Tedavisi
Tedavi seçenekleriniz, kanserinizin evresine ve ne kadar büyüdüğüne bağlı olacaktır.
Tedavi ayrıca genel sağlık durumunuza ve yaşınıza da bağlıdır.
Üroloğunuz, kanserinizin evresini ve derecesini belirleyecek ve riskinize göre bakımınızı nasıl yöneteceğinizi sizinle konuşacaktır.
Risk düşük, orta veya yüksek olabilir.
1. Kas Tabakasına Ulaşmayan Mesane Kanseri Tedavisi
Üç ana tedavi yöntemi vardır.
Eğer bu yöntemlerle iyi sonuç alınmazsa, doktorunuz mesanenizin alınmasını önerebilir.
- Mesane tümörünün sistoskopik transüretral rezeksiyonu (TUR-MT)
- Mesane içi ilaç uygulama
-
-
-
-
-
- İntravezikal immünoterapi (BCG)
- İntravezikal kemoterapi
-
-
-
-
a-) TUR-MT
TUR-MT işlemi, üretra yoluyla bir sistoskop kullanılarak yapılır; bu nedenle karnınıza herhangi bir kesik atılmaz.
Uyutulursunuz ya da belinizdeki sinirleri uyuşturmak için omuriliğe ilaç (spinal anestezi) verilebilir.
Doktorunuz, sistoskop kullanarak mesanenizin içini görür, tümör örnekleri alır ve görülebilen tüm tümörü keserek çıkarır (rezeksiyon).
Doktor, ayrıca anormal görünen diğer mesane bölgelerinden çok küçük örnekler de alabilir.
Bu örnekler, tümörün derecesi ve evresi açısından incelenecektir.
Tüm kanserin çıkarıldığından emin olmak için TUR-MT işleminin birden fazla kez yapılması gerekebilir.

b-)Mesane İçi İlaç Uygulama (İntravezikal Tedavi)
İntravezikal (mesane içi) tedavi, bir tedavi ilacının kateter (üretradan yerleştirilen ince bir tüp) yoluyla mesaneye verilmesidir.
İlacı mesanede 1–2 saat tutarsınız ve ardından idrar yoluyla dışarı atarsınız.
İntravezikal tedavi yöntemleri şunlardır:
- İntravezikal İmmünoterapi
İmmünoterapi, bağışıklık sisteminizin kanserle savaşma yeteneğini artıran bir tedavidir.
BCG (Bacillus Calmette-Guérin), mesane kanserinde kullanılan bir immünoterapi ilacıdır.
Bu tedaviyi birden fazla kez alabilirsiniz ve bazı hastalar birçok BCG kürü alır.
İlk kür genellikle yaklaşık altı hafta sürer.
BCG haftada bir kez mesanenize verilir.
Bu tedavi genellikle doktor muayenehanesinde yapılır; hastane ya da ameliyathane gerekmez.
Mesanede hastalık kalmadığında, doktorunuz tümörün geri gelmesini önlemek amacıyla aynı ilaçla ek tedavi önerebilir.
- İntravezikal Kemoterapi
İntravezikal kemoterapi genellikle ameliyattan hemen sonra uygulanır.
Mitomisin-C ve gemcitabin, mesane içi kemoterapide en sık kullanılan ilaçlardır.
Bu ilaçlar kanser hücrelerini öldürür ve doğrudan mesane içine kateterle verilir.
2. Kas İnvaziv Mesane Kanseri (KİMK) Tedavisi
KİMK tedavisi için iki ana seçenek vardır:
- Mesanenin alınması (radikal sistektomi) – kemoterapi ile birlikte ya da onsuz.
Daha nadir bir seçenek olarak, sadece tümörlü kısmın çıkarıldığı parsiyel sistektomi de yapılabilir. - Trimodal (Üçlü-Kombine)tedavi – Kemoterapi ve radyoterapi ile birlikte TUR-MT işleminin yapılması.
a-) Mesanenin Alınması
Bazı kas tabakasına ulaşmayan mesane kanseri hastalarında, diğer tedaviler başarısız olduğunda ya da kanserin tekrar etme veya kasa ve ötesine yayılma riski yüksek olduğunda, mesanenin alınması önerilebilir.
Kas invaziv mesane kanseri (KİMK) olan hastalarda ise mesanenin alınması genellikle önerilir.
Mesane Alma Ameliyatı Seçenekleri:
- Parsiyel Sistektomi (Kısmi Mesane Alımı)
Bu ameliyatta doktor yalnızca mesanenin bir kısmını çıkarır.
Parsiyel sistektomi, yalnızca mesanedeki tümör belirli bir bölgede sınırlıysa ve mesanenin başka yerlerini etkilemiyorsa önerilir.
- Radikal Sistektomi (Tam Mesane Alımı)
Radikal sistektomi, tüm mesanenin çıkarılması işlemidir.
Yüzeysel mesane kanseri için bu ameliyat genellikle diğer tedaviler işe yaramazsa yapılır.
kas tutulumu olan mesane kanserinde ise en yaygın cerrahi seçenektir.
Bu ameliyatta doktor aşağıdakileri çıkarabilir:
- Tüm mesane
- Üretranın bir kısmı ya da tamamı
- Yakındaki lenf düğümleri
- Erkeklerde: Prostat
- Kadınlarda: Rahim, yumurtalıklar, fallop tüpleri ve vajinanın bir kısmı
Diğer yakın dokular da çıkarılabilir ya da bazı durumlarda yerinde bırakılabilir.
Mesane alındığında, idrarı depolayacak ve vücuttan atacak yeni bir yol gerekir.
Buna üriner diversiyon denir. Bu sıklıkla barsaktan oluşturulan bir rezervuar ile sağlanır. Oluşturulan bu yeni mesane hastanın ve hastalığın durumuna göre karına (ideal kondüit) ya da normal idrar kanalına (üretraya) ağızlaştırılır (ortotopik neobladder).
b-) Üçlü Kombine Tedavi (TRİMODAL TEDAVİ)
-
- TUR-MT
- Radyoterapi
- Kemoterapi
Doktorunuz, radikal sistektomi (mesanenin tamamen alınması) seçeneği mümkün değilse veya istenmiyorsa mesanenin koruyucu bu tedaviyi önerebilir.
Kemoterapi ve radyoterapiye başlamadan önce, cerrahınız TUR-MT işlemi sırasında mümkün olduğunca tümörü kesip çıkaracaktır. Bu, olabildiğince fazla kanserin uzaklaştırılması amacıyla yapılır.
Radyoterapi, TUR-MT ameliyatı sonrası kas invaziv mesane kanseri (KİMK) hastalarında kemoterapi ile birlikte verilir.
Radyoterapi ve kemoterapinin birlikte uygulanması, mesanenin korunmasını hedefleyen üçlü kombine tedavi (trimodal tedavi) kapsamında yapılır.

Mesane Kanseri Ameliyat Fiyatı İstanbul
Mesane kanseri ameliyatları, hastalığın evresine, tümörün yayılım durumuna ve seçilen cerrahi tekniğe bağlı olarak farklı yöntemlerle gerçekleştirilebilir. Uygun tedavi yaklaşımı, hastanın bireysel değerlendirmesi sonrasında belirlenir. Detaylı bilgi ve süreç planlaması için bizimle iletişime geçebilirsiniz.
Her türlü sorunuz için çekinmeden bize ulaşabilirsiniz:
Mesane Kanseri Tedavisi Sonrası Takip Süreci
Tedavi tamamlandıktan sonra, takip süreci şunları içerebilir:
- Sistoskopi muayeneleri
- İdrar testleri
- Kesitsel görüntüleme yöntemleri (örneğin BT ya da MR taramaları)
Eğer mesane alma ameliyatı geçirdiyseniz, iyileşmeniz zaman alacaktır.
Her bireyin iyileşme süresi farklıdır.
Kendinizi bir süre zayıf veya yorgun hissetmeniz normaldir.
Tüm büyük ameliyatlarda olduğu gibi, mesane cerrahisinde de bazı komplikasyonlar olabilir.
Daha iyi hissetmek için yapabileceğiniz bazı şeyler şunlardır:
- Sigara içiyorsanız, bırakmak için yardım alın.
- Doktorunuzun onayıyla egzersize başlayın.
- Daha fazla meyve ve sebze içeren sağlıklı bir beslenme düzeni benimseyin.
- Unutmayın mesane kanseri sık tekrarlayan bir kanser türüdür. Bu yüzden kontrollerinizi asla aksatmayın.

